Let’s discuss a zirconia case from a dental lab in the US. The client was working with several Chinese dental labs for years. Yet, he was having a headache about one particular case: a 9-unit zirconia bridge that was remade for 3 times. He was helpless until he found us.
1. Receiving a photo and instructions
Soon we got the package in our Hong Kong office. After unpacking the case, we found there were quite a few stone models (must have been from other labs). Thankfully, the customer also sent new impressions and a photo showing the patient’s teeth.
It is important that we have new impressions, new bites and photos, if it is for a remake case, especially a case from another dental lab. For example, in this photo, we learn the stump shade of one tooth is very dark and need special treatment.
His dentist originally wanted a PFM bridge, but later he changed his mind and asked for a zirconia bridge. For the 4 front teeth, he wanted porcelain zirconia for a more natural looking. For the 5 back teeth, he required full zirconia. After all, a full zirconia crown is stronger.

2. Approving designs
On the same day, we sent designs to the client for confirmation (this is what we usually do for remake cases). We originally tried to make one zirconia bridge. However, this case was remade several times, and there were undercuts. In order to be safe, we suggested to make 2 bridges. The design looked fine, and we had approval to proceed.

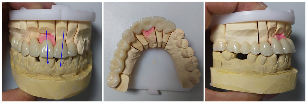
3. Adjusting for aesthetics
Now we had 2 bridges, with one porcelain zirconia bridge for the front, and one full zirconia bridge for the back. For the 4 front teeth, the space between them was big. Also, we had to unify the shade for porcelain and full zirconia bridges. This was challenging for our technicians, because the function should be met while keeping aesthetics. They had to frequently adjust the work for the best results.

6. Positive feedback
The next day, we had this final work and shipped out the case on time. A few days later, we received a positive response about aesthetics and shade. His headache was put to an end. Now he keeps sending packages to us each week.




