Recently, one of our customers sent us a case. He asked for clear aligners as usual, but we did not suggest to make aligners (or invisible braces) for the case. We think it is necessary to have a quick explanation for everybody.
In many situations, aligners are a good orthodontic solution for patients. They are almost invisible, and patients will feel comfortable when wearing them. They are effective in correcting misplaced mid-line, spacing, crowding, open bite and so on. However, there are some situations where aligners are not recommended alone.
1. Examples where aligner treatment is not advised alone
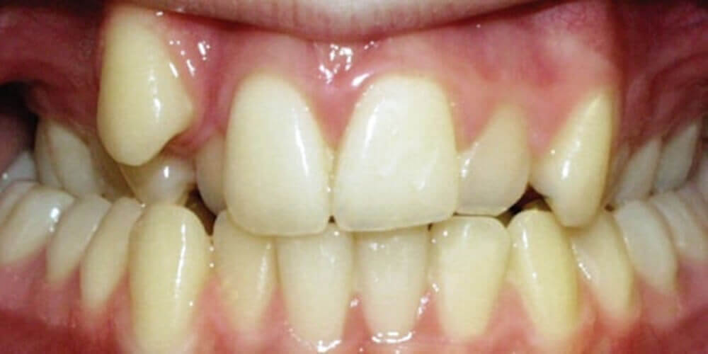
Let’s look at this example (the above picture). The patient has serious under bite. It will be a lot faster and more efficient to first use traditional orthodontic devices (such as a dental expander or orthodontic headgear) to obtain a normal bite. When the patient gets a normal occlusion, we can then correct teeth with clear aligners in a more efficient way.


Severely crooked teet
2. Need to know about clear aligners
One very important thing of a clear aligner case is to have a professional Treatment Plan. Experienced orthodontists can foresee the final results. They know what to include in the whole treatment plan. By deeply communicating with orthodontists and patients, one Treatment Plan could be refined several times before final production of aligners.
Second, the material for clear aligners is essential. In Bestodental dental, each plastic sheet is FDA and CE marked. This makes sure that they are all safe to use. Also, our premium plastic sheet is very elastic and strong, which is crack resistant and brings great results.


clear aligners with various finishing lines
3. Finishing lines for clear aligners
A clear aligner can have different finishing lines, based on the preferences from orthodontists. As a professional clear aligner supplier, Bestodental dental lab provides different finishing lines for orthodontists and patients (Of course, customers can also choose the thickness of aligners). The first picture above is a finishing line that fully covers gums. The middle picture shows aligners where the finishing line covers around 2/3 teeth, and there are small lines inside the whole aligners. The last finishing line ends right where gum starts.
Surely, we can just make clear aligners for the above cases. Yet, we are now talking about more efficient ways to get expected results. Different cases may have varied orthodontic solutions. If you have difficult cases, please directly talk to Bestodental dental lab. Our expert orthodontists can surely help out with your business.



