Many clients are crazy about shades for dental work. They love the natural blending of colors and the translucency on the incisor. They also love the natural anatomy for front and back teeth. Here let’s expore what to do to create satisfactory shades and anatomy.
1. Send us portraits of the patient
We need a front view and side view of the patient. First, it is important that we learn the patient’s gender and age. Second, with such pictures, we can check the patient’s smile and the shape of the patient’s face. Then we can decide the length of the teeth for the upper and the lower. We can also decide the shape of the crowns that we will make, whether they should be more square or oval.

Portrait for dental cases (the person is one of our staff)
2. Close view of smiles
By checking the patients’ smile line closely, we will learn the bite relationship of the upper and lower jaws. So we can decide the mid-line of the dental work, and how much teeth should be shown for the upper and lower. With such pictures, we can design smiles beforehand. And we will make smiles that can best fit the patients.
front and side smile
3. Close view of natural teeth
Please send a high-resolution close view of the teeth, with 3 or 4 shade guides at the teeth. Some doctors use only one shade guide. That is not enough to fully embody the patients’ natural tooth color. With 3 or 4 shade guides around the natural teeth, we can compare and choose the shade guide that goes best for the natural teeth. We need a few pictures like that, in different light environment.

Shade comparison with shade tabs
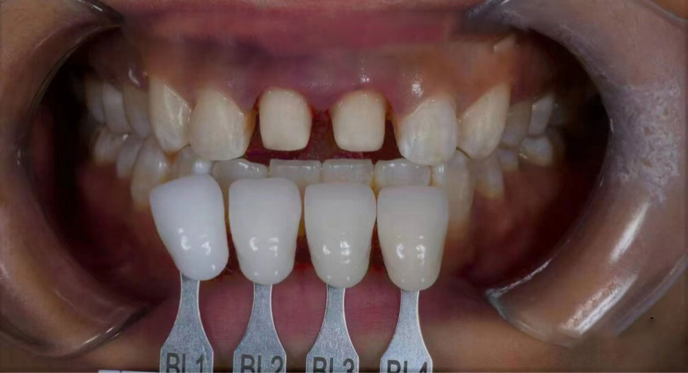
4. Close view of the abutments
We need to examine the stump shades, also with several shade guides aside the natural teeth. Knowing the patients’ stump shades allows us to exactly mimic shades of the adjacent natural teeth. For example, if we learn the stump shade is very dark, we will have to make special treatments first. It is to successfully covering the dark shade.
With such high resolution pictures, we can create best shades and anatomy for your patients. For more details, please feel free to contact us at [email protected]
Stump shades



